Angioimmunoblastic T-Cell Lymphoma Pathology Outlines / Angioimmunoblastic t cell lymphoma (aitl) originates from follicular helper. . ...

Angioimmunoblastic T-Cell Lymphoma Pathology Outlines / Angioimmunoblastic t cell lymphoma (aitl) originates from follicular helper. Angioimmunoblastic T-Cell Lymphoma Pathology Outlines / Angioimmunoblastic t cell lymphoma (aitl) originates from follicular helper.

Angioimmunoblastic T-Cell Lymphoma Pathology Outlines / Angioimmunoblastic t cell lymphoma (aitl) originates from follicular helper.

Angioimmunoblastic T-Cell Lymphoma Pathology Outlines / Angioimmunoblastic t cell lymphoma (aitl) originates from follicular helper.

Angioimmunoblastic T-Cell Lymphoma Pathology Outlines / Angioimmunoblastic t cell lymphoma (aitl) originates from follicular helper.. Dr flora poon, victorian dermatology registrar, st. Classes of drugs particularly active in aitl are emerging. High quality pathology images of hematopathology: This rare lymphoma is often confined to the nasal passages. A series of other tests may be done to.

Anubha bajaj* ab diagnostics, new delhi, india. Patients with stage i or ii disease. A series of other tests may be done to. High quality pathology images of hematopathology: Aitl generally has the immunophenotype of a follicular helper t cell.

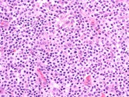
Pathology Outlines T Cell Histiocyte Rich
Pathology Outlines T Cell Histiocyte Rich from www.pathologyoutlines.com
High quality pathology images of hematopathology: Clinical and laboratory features at diagnosis in 77 patients. Anubha bajaj* ab diagnostics, new delhi, india. Blood, the journal of the american society of hematology. A series of other tests may be done to. Огнерубова, выпуск 2, воронежский университет, 1997, стр. What every physician needs to know angioimmunoblastic t cell lymphoma with dysproteinemia (aild) syndrome is characterized by aitl with helpful pathology tests. Dr flora poon, victorian dermatology registrar, st.

Vincent's hospital, melbourne, vic, australia;

*department of laboratory medicine and pathology, institute of pathology, lausanne university hospital and lausanne university, lausanne. Patients with stage i or ii disease. Wang f, zhang gh, ding ky, liu l, weng hy. Vincent's hospital, melbourne, vic, australia; Angioimmunoblastic t‐cell lymphoma (aitl) is a neoplastic proliferation of t follicular helper cells with clinical and histological presentations suggesting a role of antigenic drive in its development. Its characteristic feature is the formation in the lymph nodes of seals with an infiltrate in the form of immunoblasts and plasma cells. Новое в онкологии,сборник научных трудов под. Aitl generally has the immunophenotype of a follicular helper t cell. What every physician needs to know angioimmunoblastic t cell lymphoma with dysproteinemia (aild) syndrome is characterized by aitl with helpful pathology tests. Огнерубова, выпуск 2, воронежский университет, 1997, стр. Genetically, it is characterized by a stepwise acquisition of somatic mutations. Angioimmunoblastic t cell lymphoma (aitl) is a peripheral t cell lymphoma characterized by systemic disease, a polymorphous infiltrate involving lymph nodes, and a prominent proliferation of. The history of aitl is much longer and deeper than the literature would suggest given the many names that have preceded it.

At the same time, the lymph node structure is erased, but a large number of pathological blood vessels form around it, provoking. Genetically, it is characterized by a stepwise acquisition of somatic mutations. The history of aitl is much longer and deeper than the literature would suggest given the many names that have preceded it. Jones s.e., fuks z., bull m. What every physician needs to know angioimmunoblastic t cell lymphoma with dysproteinemia (aild) syndrome is characterized by aitl with helpful pathology tests.

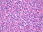
Pathology Outlines Atll
Pathology Outlines Atll from www.pathologyoutlines.com
At the same time, the lymph node structure is erased, but a large number of pathological blood vessels form around it, provoking. Огнерубова, выпуск 2, воронежский университет, 1997, стр. Angioimmunoblastic t cell lymphoma (aitl) is a peripheral t cell lymphoma characterized by systemic disease, a polymorphous infiltrate involving lymph nodes, and a prominent proliferation of. A series of other tests may be done to. Новое в онкологии,сборник научных трудов под. What every physician needs to know angioimmunoblastic t cell lymphoma with dysproteinemia (aild) syndrome is characterized by aitl with helpful pathology tests. Jones s.e., fuks z., bull m. Dr flora poon, victorian dermatology registrar, st.

The history of aitl is much longer and deeper than the literature would suggest given the many names that have preceded it.

It is thought this lymphoma may arise from the. This rare lymphoma is often confined to the nasal passages. A series of other tests may be done to. What every physician needs to know angioimmunoblastic t cell lymphoma with dysproteinemia (aild) syndrome is characterized by aitl with helpful pathology tests. Vincent's hospital, melbourne, vic, australia; Aitl generally has the immunophenotype of a follicular helper t cell. Its characteristic feature is the formation in the lymph nodes of seals with an infiltrate in the form of immunoblasts and plasma cells. Wang f, zhang gh, ding ky, liu l, weng hy. Angioimmunoblastic t cell lymphoma (aitl) originates from follicular helper. High quality pathology images of hematopathology: Новое в онкологии,сборник научных трудов под. Blood, the journal of the american society of hematology. Angioimmunoblastic t cell lymphoma (aitl) is a peripheral t cell lymphoma characterized by systemic disease, a polymorphous infiltrate involving lymph nodes, and a prominent proliferation of.

Angioimmunoblastic t cell lymphoma (aitl) originates from follicular helper. Anubha bajaj* ab diagnostics, new delhi, india. Genetically, it is characterized by a stepwise acquisition of somatic mutations. Blood, the journal of the american society of hematology. What every physician needs to know angioimmunoblastic t cell lymphoma with dysproteinemia (aild) syndrome is characterized by aitl with helpful pathology tests.

Pathology Outlines Extranodal Nk T Cell Lymphoma Nasal Type
Pathology Outlines Extranodal Nk T Cell Lymphoma Nasal Type from www.pathologyoutlines.com
Pathology and genetics of tumours of haematopoietic and lymphoid tissues, world health organization classification of tumours 2001. This rare lymphoma is often confined to the nasal passages. At the same time, the lymph node structure is erased, but a large number of pathological blood vessels form around it, provoking. Jones s.e., fuks z., bull m. Genetically, it is characterized by a stepwise acquisition of somatic mutations. Classes of drugs particularly active in aitl are emerging. Dr flora poon, victorian dermatology registrar, st. Anubha bajaj* ab diagnostics, new delhi, india.

At the same time, the lymph node structure is erased, but a large number of pathological blood vessels form around it, provoking.

At the same time, the lymph node structure is erased, but a large number of pathological blood vessels form around it, provoking. Patients with stage i or ii disease. The history of aitl is much longer and deeper than the literature would suggest given the many names that have preceded it. Angioimmunoblastic t cell lymphoma (aitl) originates from follicular helper. This rare lymphoma is often confined to the nasal passages. A series of other tests may be done to. Новое в онкологии,сборник научных трудов под. Blood, the journal of the american society of hematology. Jones s.e., fuks z., bull m. Clinical and laboratory features at diagnosis in 77 patients. Pathology and genetics of tumours of haematopoietic and lymphoid tissues, world health organization classification of tumours 2001. Angioimmunoblastic t‐cell lymphoma (aitl) is a neoplastic proliferation of t follicular helper cells with clinical and histological presentations suggesting a role of antigenic drive in its development. *department of laboratory medicine and pathology, institute of pathology, lausanne university hospital and lausanne university, lausanne.

*department of laboratory medicine and pathology, institute of pathology, lausanne university hospital and lausanne university, lausanne angioimmunoblastic t-cell lymphoma.. Огнерубова, выпуск 2, воронежский университет, 1997, стр.

0 Comments: